症例集
このページでは、実際に当院で矯正治療を受けられた患者さまのなかから、お写真を掲載させていただいております。ご協力いただき、まことにありがとうございます。
お写真をご覧いただくことで治療の前後を比較できるので、どれぐらい改善したかひと目でおわかりいただけます。
以下それぞれの歯並びをクリックすると症例に跳びますのでご参考ください。
上顎前突(出っ歯)
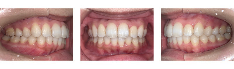
上顎前突(出っ歯):症例➀
治療例基本情報
デコボコを治したい
叢生を伴う上顎前突
36歳
女性
2年3ヶ月経過/月1回の通院
ラビアル(表側装置)
921500円
上下左右4番
治療を行なううえでの注意点(リスク・副作用)
長期に咬合を安定させるために、保定装置の使用が大切です。
※歯根吸収(歯の根の先が短くなること):今回は全くみられませんでした。
※歯肉退縮(歯ぐきが下がること):今回は下顎前歯にブラックトライアングルが認められました。
※詳細はリスク(副作用)のページをご参照ください。
※治療費の詳細については「料金表」をご参照ください。
リスク・副作用について >
料金について >
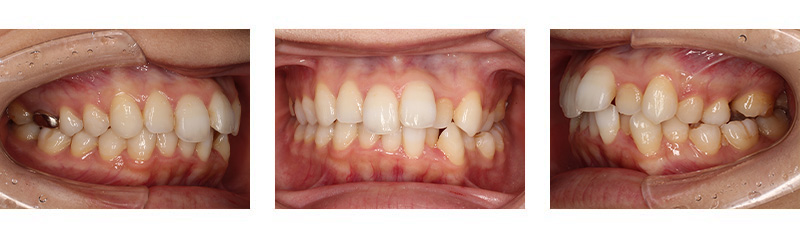
上下顎前突
上下顎前突:症例①
治療例基本情報
出っ歯を治したい
叢生を伴う上下顎前突
30歳
女性
1年8ヶ月経過/月1回の通院
ラビアル(表側装置)
898560円
右上4番、左上5番、右下5番、左下5番
治療を行なううえでの注意点(リスク・副作用)
長期に咬合を安定させるために、保定装置の使用が大切です。
※歯根吸収(歯の根の先が短くなること):今回は全くみられませんでした。
※歯肉退縮(歯ぐきが下がること):今回は全くみられませんでした。
※詳細はリスク(副作用)のページをご参照ください。
※治療費の詳細については「料金表」をご参照ください。
リスク・副作用について >
料金について >
過蓋咬合
過蓋咬合:症例①
治療例基本情報
噛み合わせを治したい
過蓋咬合を伴う上顎前突
16歳
男性
2年7ヶ月経過/月1回の通院
ラビアル(表側装置)
978000円
なし
治療を行なううえでの注意点(リスク・副作用)
長期に咬合を安定させるために、保定装置の使用が大切です。また、くいしばりにも注意が必要です。
※歯根吸収(歯の根の先が短くなること):今回は全くみられませんでした。
※歯肉退縮(歯ぐきが下がること):今回は全くみられませんでした。
※詳細はリスク(副作用)のページをご参照ください。
※治療費の詳細については「料金表」をご参照ください。
※「ラビアル(表側装置)装着前に機能的顎矯正装置を使用し、非抜歯にて治療を行えました。
リスク・副作用について >
料金について >
叢生(八重歯・乱ぐい歯)
叢生(八重歯・乱ぐい歯):症例①
治療例基本情報
デコボコを治したい
叢生
13歳
男性
1年4ヶ月経過/月1回の通院
ラビアル(表側装置)
887,000円
右上4番
治療を行なううえでの注意点(リスク・副作用)
もともと下顎の前歯が1本不足しており、上顎は八重歯のため上顎のみ1本抜歯を行っています。
右下3番を2番として使用するため、歯の形態修正が必要となりました。
※歯根吸収(歯の根の先が短くなること):今回は全くみられませんでした。
※歯肉退縮(歯ぐきが下がること):今回は全くみられませんでした。
※詳細はリスク(副作用)のページをご参照ください。
※治療費の詳細については「料金表」をご参照ください。
リスク・副作用について >
料金について >
叢生(八重歯・乱ぐい歯):症例②
治療例基本情報
デコボコを治したい
叢生
12歳
女性
12ヶ月/月1回の通院
ラビアル(表側装置)
889,000円
なし(残存乳歯は抜歯)
治療を行なううえでの注意点(リスク・副作用)
もともと左上の乳歯の生え変わりが遅く、必要以上に残っていたためかみ合わせが悪くなっています。
左上の乳歯は早期に抜歯を行い、永久歯は非抜歯にて治療を行いました。
※歯根吸収(歯の根の先が短くなること):今回は全くみられませんでした。
※歯肉退縮(歯ぐきが下がること):今回は全くみられませんでした。
※詳細はリスク(副作用)のページをご参照ください。
※治療費の詳細については「料金表」をご参照ください。
リスク・副作用について >
料金について >
叢生(八重歯・乱ぐい歯):症例③
治療例基本情報
でこぼこ
叢生
22歳
女性
2年1ヶ月/月1回の通院
ラビアル(表側装置)
994,240円
上顎右側6番
治療を行なううえでの注意点(リスク・副作用)
上顎右側6番が虫歯のため、保存ができないとのことで右上6番を抜歯し、代わりに右上7番を6番の位置に排列しました。
長期に咬合を安定させるために、保定装置の使用が大切です。
※歯根吸収(歯の根の先が短くなること):今回は全くみられませんでした。
※歯肉退縮(歯ぐきが下がること):今回は全くみられませんでした。
※詳細はリスク(副作用)のページをご参照ください。
※治療費の詳細については「料金表」をご参照ください。
リスク・副作用について >
料金について >
開咬(オープンバイト)
治療例基本情報
歯の隙間が気になる
開咬
33歳
男性
1年5ヶ月/月1回の通院
マウスピース型矯正(インビザライン)
1,127,500円
なし
治療を行なううえでの注意点(リスク・副作用)
長期に咬合を安定させるために、保定装置の使用が大切です。
また舌癖および口呼吸の改善も長期の安定性にとても重要です。
※歯根吸収(歯の根の先が短くなること):今回は全くみられませんでした。
※歯肉退縮(歯ぐきが下がること):今回は全くみられませんでした。
※詳細はリスク(副作用)のページをご参照ください。
※治療費の詳細については「料金表」をご参照ください。
リスク・副作用について >
料金について >
反対咬合(受け口)
治療例基本情報
前歯で噛めない
下顎前突を伴う開咬
23歳
女性
1年10ヶ月/月1回の通院
マウスピース型矯正(インビザライン)
1,126,116円
なし
治療を行なううえでの注意点(リスク・副作用)
長期に咬合を安定させるために、保定装置の使用が大切です。また舌突出癖や口呼吸の改善が咬合の安定にとても重要です。
※歯根吸収(歯の根の先が短くなること):今回は全くみられませんでした。
※歯肉退縮(歯ぐきが下がること):今回は全くみられませんでした。
※詳細はリスク(副作用)のページをご参照ください。
※治療費の詳細については「料金表」をご参照ください。
リスク・副作用について >
料金について >
空隙歯列(すきっ歯)
治療例基本情報
すきっ歯
叢生
17歳
女性
2年5ヶ月/月1回の通院
ラビアル(表側装置)
967,896円
なし
治療を行なううえでの注意点(リスク・副作用)
長期に咬合を安定させるために、保定装置の使用が大切です。上顎の前歯の元々小さい歯は補綴処置にて形態やサイズを回復しています。
※歯根吸収(歯の根の先が短くなること):今回は全くみられませんでした。
※歯肉退縮(歯ぐきが下がること):今回は全くみられませんでした。
※詳細はリスク(副作用)のページをご参照ください。
※治療費の詳細については「料金表」をご参照ください。
リスク・副作用について >
料金について >
矯正歯科治療に伴う一般的なリスクや副作用について
① 最初は矯正装置による不快感、痛み等があります。数日間~1、2 週間で慣れることが多いです。
② 歯の動き方には個人差があります。そのため、予想された治療期間が延長する可能性があります。
③ 装置の使用状況、顎間ゴムの使用状況、定期的な通院等、矯正治療には患者さんの協力が非常に重要であり、それらが治療結果や治療期間に影響します。
④
治療中は、装置が付いているため歯が磨きにくくなります。むし歯や歯周病のリスクが高まりますので、丁寧に磨いたり、定期的なメンテナンスを受けたりすることが重要です。また、歯が動くと隠れていたむし歯が見えるようになることもあります。
⑤ 歯を動かすことにより歯根が吸収して短くなることがあります。また、歯ぐきがやせて下がることがあります。
⑥ ごくまれに歯が骨と癒着していて歯が動かないことがあります。
⑦ ごくまれに歯を動かすことで神経が障害を受けて壊死することがあります。
⑧ 治療途中に金属等のアレルギー症状が出ることがあります。
⑨ 治療中に「顎関節で音が鳴る、あごが痛い、口が開けにくい」などの顎関節症状が出ることがあります。
⑩ 様々な問題により、当初予定した治療計画を変更する可能性があります。
⑪ 歯の形を修正したり、咬み合わせの微調整を行ったりする可能性があります。
⑫ 矯正装置を誤飲する可能性があります。
⑬ 装置を外す時に、エナメル質に微小な亀裂が入る可能性や、かぶせ物(補綴物)の一部が破損する可能性があります。
⑭ 装置が外れた後、保定装置を指示通り使用しないと後戻りが生じる可能性が高くなります。
⑮ 装置が外れた後、現在の咬み合わせに合った状態のかぶせ物(補綴物)やむし歯の治療(修復物)などをやりなおす可能性があります。
⑯ あごの成長発育によりかみ合わせや歯並びが変化する可能性があります。
⑰
治療後に親知らずが生えて、凸凹が生じる可能性があります。加齢や歯周病等により歯を支えている骨がやせるとかみ合わせや歯並びが変化することがあります。その場合、再治療等が必要になることがあります。
⑱ 矯正歯科治療は、一度始めると元の状態に戻すことは難しくなります。

